SuperKarate.RU  Сломан, но не сломлен!

Открытое письмо Анзора Шихабахова.

 


Анзор ШихабаховПосле завершения Чемпионата АКР в сети появилось много разговоров и слухов по поводу моих переломов с которыми мне пришлось драться и много вопросов типа: «А вообще правда ли это?». Чтобы развеять эти слухи я попросил своего тренера Анатолия Онищенко выложить этот текст в интернет.

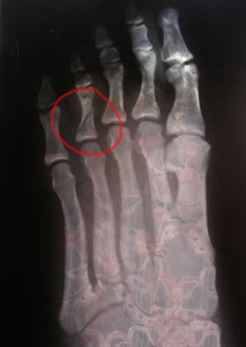
Да, действительно, за пять дней до отъезда на турнир я сломал палец правой ноги как говорится «на ровном месте». На обычной утренней тренировке во время одного из упражнений я случайно споткнулся о ногу Миши Перельмана. Итогом вроде бы безобидного столкновения явилась нелепая и болезненная травма. В травмпункте сделали снимок (он кстати прилагается), наложили гипс и вообще запретили, не то чтобы выступать, а даже наступать на эту ногу. Но я настолько серьёзно готовился к этому турниру (почти три месяца), что находился в очень хорошей форме и из- за такой обидной травмы не участвовать в Чемпионате АКР просто не мог себе позволить.

Ещё подхлёстывало то, что на Чемпионате Европы по Кёкусинкану в Киеве я выступил не очень хорошо. Хотя я стал тогда первым, моя спортивная форма в то время была довольно неважной. Я готовился к турниру всего 20 дней. Тому были объективные причины – женитьба, медовый месяц, переезд в новый дом и так далее.

Но вот теперь, на таком представительном и престижном Чемпионате АКР мне хотелось доказать самому себе и своим соперникам, что я могу драться лучше да и попробовать новые технические наработки, которым я уделял много времени.

Говорят, что спортсмены народ суеверный, не знаю, но на этот раз хочешь-не хочешь, а поверить пришлось. Всё началось с этого злополучного перелома. Стресс, срочные поиски вместе с тренером каких-то запасных вариантов ведения боя, а тут ещё все эти совпадения….
Поезд из Нальчика в Москву уезжал в 18 часов 13 минут, ехали мы в 13 вагоне и конечно же у меня оказалось 13 место. В гостинице мой номер был 2613, первое что я увидел по телевизору в гостинице, когда включил его – был большой номер 13 на майке одного из футболистов, а когда пацаны стали смеяться и подкалывать меня, оказалось что этот футбольный матч показывают по 13 каналу. Я уже был почти уверен что и номер, который мне выдадут на турнире тоже будет тринадцатым. Но номер оказался 67, не успел я облегчённо вздохнуть, как Игорёха Пеплов, который даже не подозревал о моих приключениях с этим числом подмигнул, похлопывая по плечу: «О, Анзик, а 6 плюс 7 равняется тринадцать»!

В общем я понял, что это на самом деле неспроста, но честно говоря меня все эти полушутливые подколы друзей только ещё больше настроили на бой.

Теперь о переломе голени.
Во втором бою я встречался с сильным бойцом из Шин-киокушина Намигом Насировым (хотя честно скажу, что слабых на турнире не было вообще). Работая с ним сделал несколько сильных лоу и тут же этой ногой крутанул уширо-маваши в голову. Он успел закрыться и я голенью попал ему кажется в локоть. Вот тут это и произошло. Я не знаю как это получилось, но ошеломление было настолько сильным, что в первую секунду я принял звук ломающейся кости за звук чего-то упавшего на татами. Если посмотреть запись, то видно, как остановившись на секунду я растеряно вожу глазами по татами и даже показываю рефери, что у него вроде что-то упало. И только недоумённый взгляд судьи и окрик тренера заставляют меня продолжить бой. Видимо это был шок. Дальше я помню не очень хорошо, как заканчивал бой, как сходил хромая с помоста. Боль была жуткая. В себя пришёл только в руках врача нашей команды Михаила Язовских. Огромное ему спасибо, потому что без его помощи я вряд ли смог продолжить драться дальше. Он так грамотно замотал, заморозил и обезболил травмированное место, и так уверенно убедил меня, что там никак не может быть перелома, что я даже это поверил. Но и потом, когда на следующий день в Москве друзья повезли меня в больницу, где сделали снимок, ни я сам ни окружающие не могли понять, как с такой травмой я провёл ещё четыре боя (снимок прилагается).

Конечно я счастлив, что на АКР мне удалось добиться этой победы. Я сделал всё что мог на тот момент. Наш тренер Анатолий Онищенко всегда говорил нам перед боями: «Деритесь так, чтобы потом не было стыдно ни перед собой, ни перед другими, чтобы на следующий день не укорять себя за то, что не сделал того, что мог бы сделать».

Наверное я мог бы сделать больше, если бы не травмы. Но переломы такая противная штука, я вам скажу. Вялость, слабость, состояние какого-то ступора. До конца соревнований я так и не вышел из этого полушокового состояния.

В одном я уверен точно, что если бы не эти травмы, я смог подраться остальные бои более ярко. Уж во всяком случае не стоял бы тупо принимая удары, взрывался бы, разрывал дистанцию. Но просто физически не мог этого сделать.
Хочу сказать, что этот турнир и эта победа были самыми тяжёлыми и сложными для меня. Мастерство и сила всех участвующих бойцов были настолько высоки, что если сейчас снова повторить этот турнир с такими мировыми звёздами, то окончательный результат и восьмёрка финалистов могли бы быть совсем другими.

Ну и напоследок. По приезду в Нальчик гипс мне наложили 13 июня, а снимать должны 13 июля :) Вот и не знаю теперь, 13 - это счастливое для меня число или нет. И ещё, большое спасибо моему тренеру за то что он со мной до сих пор нянчится :)

А.Шихабахов.
10 июля 2007 года.


Сайт создан в январе 1997 года. Copyright © 2002-2006 L.Glagolev. All rights reserved.

Karate Kyokushinkai Rambler's Top100 Яндекс цитирования Rambler's Top100 rax.ru: показано число посетителей за сегодня